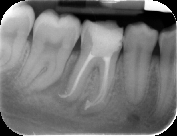
Non-Surgical Root Canal Treatment LR6
A cavity open to the pulp allowed bacteria to colonise the root canal system. Careful negotiation was needed to mechanically prepare the mesial canals.
Pre-op PA of the LR6 shows a mesial cavity opening into the pulp, the mesial canals seem sclerosed towards the apex, this is further complicated by an acute curvature
Post-op PA shows all canals well prepared to the apex

