Separated File Removal LL6
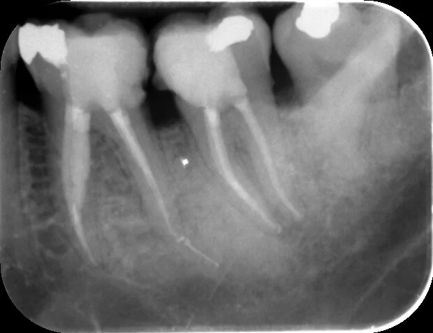
A separated instrument in a mesial canal of the LR6 threatened to compromise successful treatment. The instrument was removed with the help of ultrasonic tips.
A separated file can be seen in one of the mesial canals (turned out to be the mesio-lingual canal), luckily it was visible with the use of high magnification and illumination
After removal of the separated instrument and full preparation of the canals an X-ray was taken and showed part of the file managed to enter the distal canal
The last piece of the separated instrument was removed and all canals were filled with a good apical-coronal seal
The offending instrument

