Non-surgical Root Canal Treatment of the UR6
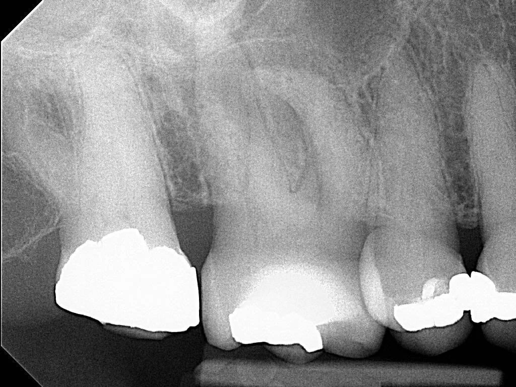
This patient experienced some pain from the URQ and on investigation it seen to be infected. The pre-op radiograph revealed sclerosed canals which meant careful preparation to avoid any procedural errors.
Pre-op PA revealing sclerosed canals on the UR6 and an apical radiolucency on the curved MB root
Post-op PA showing a good apical-coronal seal in all four canals

