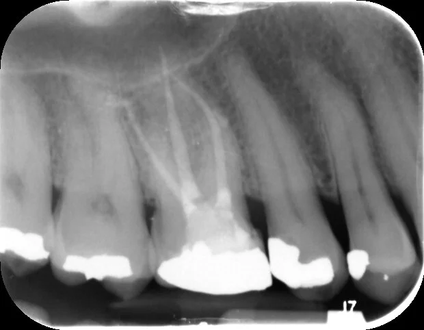
Non-Surgical Root Canal Re-Treatment UR6
A poorly filled UR6 was causing the patient some pain, successful re-treatment of the tooth removed all symptoms and allowed the patient to keep their tooth.
A suboptimal root filling on the UR6
Post treatment with all canals filled with a good coronal-apical seal

