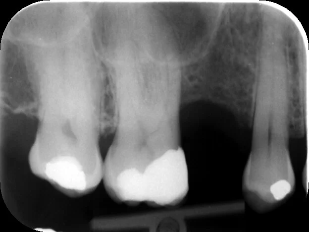
Non-Surgical Root Canal Treatment UR6
The UR6 was causing some pain, the vitality test result was negative, we decided to perform root canal treatment.
The angle of this PA hid the true nature of the canal curvature
The fully obturated canals reveal the true nature of that extreme curvature in the mesio-buccal canal

