Vital Pulp Therapy LR7
A deep carious lesion had breached the mesial pulp horn causing the patient some pain, vitality testing revealed a vital pulp and vital pulp therapy was chosen as the course treatment.
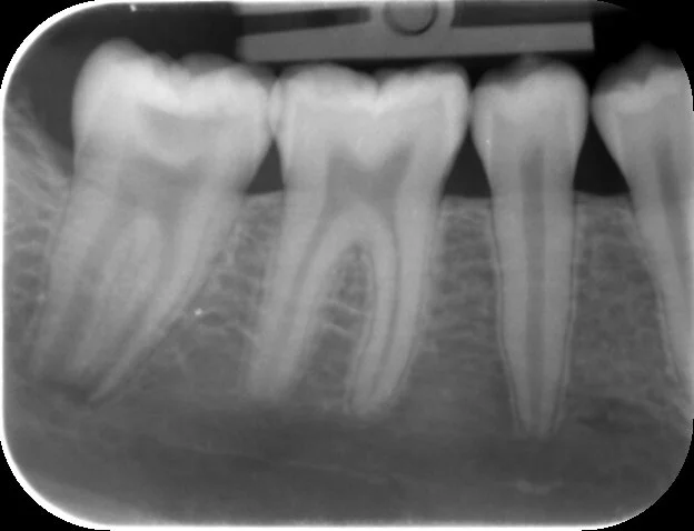
An occlusal carious lesion breaching the pulp horn of the second molar, the apices are not fully developed
Inflamed pulp tissue was removed with sterile instruments and bleeding was arrested, a biocompatible mineral trioxide aggregate direct pulp cap was placed followed by a composite restoration
Two years and no symptoms later this PA shows continued root development of the second molar

